Featured Creature: Toxoplasma gondii

What ubiquitous little parasite purposely changes the behavior of its host, through some method researchers can’t even agree on?

Fluorescently stained T. gondii cells;
Morne Arin via Wikimedia Commons, CC-BY-4.0; image is cropped)

Science fiction (and horror) features a lot of mind-controlling parasites. Someone gets infected, is completely taken over, and makes it their mission to spread the disease as far and wide as they can. The parasite consumes their brain, and they become just another vector for the organism’s spread.
While that’s obviously a little far-fetched in real life, there are animals that use humans and other animals purely as vectors to stay alive, and there are even organisms that can alter the behavior of others to make their own survival as easy as possible. 

A parasite is an organism that lives either on or inside another organism (a host) and benefits at the host’s expense; it steals food and nutrients from its host and often harms the host in other ways, too. This relationship between a host and a parasite is a type of symbiosis called parasitism.

There are several kinds of hosts in a parasitic relationship, but the most important are definitive and intermediate hosts: definitive hosts are the parasite’s ultimate hosts; the parasite can reproduce sexually in these hosts, allowing it to complete its life cycle. Intermediate hosts are just hosts where the parasite ends up on the way to the definitive host; they can still reproduce in intermediate hosts, but only asexually—by dividing inside host cells to create new copies of themselves, rather than mixing DNA from two parents as we do..

 Incidental hosts are hosts the parasite ends up in by accident, and they don’t really help the organism reach its target destination, the definitive host. Reservoir hosts are those that harbor the parasite but aren’t affected by it; they just end up carrying it elsewhere. 

Many hosts, whether they’re definitive, intermediate, or something else, are animals like mammals, fish, birds, or insects—but parasites can also infect much smaller organisms, even other microbes.

A rat carrying the bubonic plague (reservoir host)
Public Domain

Parasites can be all kinds of organisms, but tend to be very small: single-celled organisms, insects, and worms (like a tapeworm) are common examples. Toxoplasma gondii is an extremely tiny single-celled parasite- around 1/20th the width of a strand of your hair! 

T. gondii is found in several hosts, but its only definitive host is the cat. Its most common intermediate hosts are rodents. Cats are its only definitive hosts because their intestines provide a unique environment where T. gondii can reproduce sexually— due in part to cats’ low levels of the enzyme delta-6-desaturase, which allows linoleic acid to build up and trigger that process.

This parasite can also infect most other warm-blooded animals, such as deer, dogs, and even people. In fact, it’s pretty common for humans to have this parasite —around 30% of us worldwide have been infected at least once. In the United States, that rate is much lower, but it can be as high as 80% in other countries around the world.Now in humans, T. gondii keeps a low profile. Chances are, you wouldn’t even know it was there. In rare cases, it can develop into an actual infection called toxoplasmosis; with symptoms similar to the flu. Neurological changes are possible, but also rare. A severe infection can cause dizziness, clumsiness, slower thought processing, and lower stress levels (while that doesn’t necessarily sound like a bad thing, risky behavior can lead to an increased risk of car accidents.

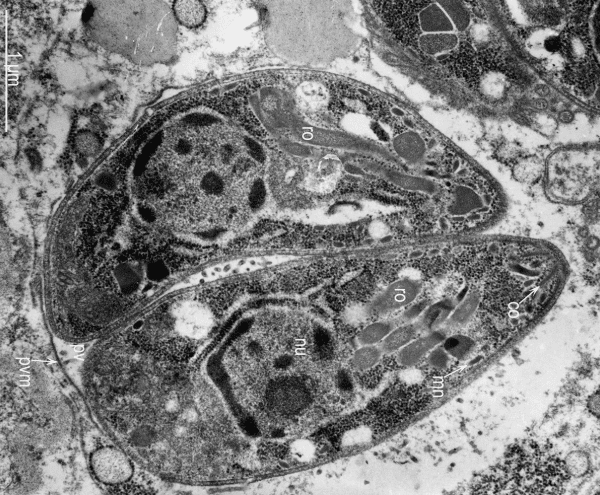
Two T. gondii cells viewed through a TEM; Jacques Rigoulet et al. via Wikimedia Commons, CC-BY-4.0;

Humans are an incidental host, so all of these changes are accidental. The host T. gondii actually wants to manipulate is the intermediate host: rodents. In mice and rats, a Toxoplasma gondii infection changes their behavior. Infected rodents tend to take more risks if there’s a threat of a predator, like cats, and become more aggressive. Typically, rodents are repelled by the smell of cat urine because they don’t want to be in places cats have been before. It’s a survival instinct, and the infection gets right in the middle of that. Their lowered guard inevitably leads to more infected rodents being eaten, giving the parasite easy access to its definitive host, the cat and its abundant delta-6-desaturase enzyme. There, the parasite can finish its life cycle and reproduce, to spread and infect other animals again. 

This is an example of what is known as parasite-increased trophic transmission, in which a parasite increases its own survival by making its intermediate host (a rodent, in this case) more likely to be consumed by a predator (a cat). The behavioral changes T. gondii causes in rodents make them more likely to act aggressively and fearlessly, leading them to be caught by cats when they don’t run away. In this way, T. gondii drives ecological interactions between different species.

The obvious question is how. It’s complicated stuff, no doubt. There are a couple of different theories as to how the parasite causes these oddly specific behavioral changes, but none is without their own flaws and uncertainties. 

The first major theory is tropism. Parasitic infections like these often form cysts; those small nodes, clusters, or pockets of tissue in the body that aren’t supposed to be there, often filled with something unusual. T. gondii cysts contain hundreds of individual T. gondii cells, all dormant and ready to be reactivated later. These cysts aren’t spread evenly around the body, though– they’re concentrated in areas like the brain, eyes, and other immune-privileged locations. The cysts form where they can better hide from the body’s immune system. Tropism says that the physical location of these cysts plays a part in how they affect the host. In humans, they’re vaguely denser in certain areas of the brain, like the hypothalamus and amygdala. These parts of the brain deal with your mood and fear response, which is just the sort of thing that goes wrong in infected rodents. The theory is that, because there are more cysts in those locations, they’re able to interfere with how those neurons function. They might do this through inflammation and swelling, by physically destroying neurons, or by releasing certain chemicals. 

As foreshadowed, it’s not a perfect explanation. Even when cysts are cleared or inactive, some behavioral effects can persist, suggesting that changes in the brain may outlast the infection itself.

Image: T. gondii cysts in muscle tissue; Dr. Martin D. Hicklin via Pixnio, CC0)

The second major theory is that the parasite disrupts human dopamine production. Dopamine is a neurotransmitter that deals with reward and motivation. Toxoplasma gondii has two genes that allow it to increase dopamine production in its neighboring neurons. In humans and infected organisms, dopamine levels are much higher in areas with cysts. Too much dopamine can cause a decrease in stress responses and can cause animals to take more risks, with the motivation to explore new smells, like cat urine. 

The final major theory is that the parasite also changes testosterone and vasopressin levels in its host. Exposure to more of these chemicals increases aggressiveness and decreases caution, making the rodent more likely to be eaten by cats. This theory also holds because male rats are more likely to exhibit strong behavioral changes in response to an infection than females. Several studies have tested this, and testosterone levels have been shown to increase in humans and in rats, but strangely, not in mice.

Several studies have examined each of these theories and sought to test and disprove them; many disagree with one another. No one has fully agreed on which possibility is correct, and perhaps there is a more nuanced truth that combines of all of them. No matter what’s going on under the hood, T. gondii is able to infect intermediate hosts and alter their behavior to get closer to its definitive host, advancing its own life cycle.

Toxoplasma gondii isn’t the only parasite that does this, either: the zombie-ant fungus causes ants to drop their regular behavior and start to climb as high as they can before dying; the fungus will then release its spores, which tend to travel further and infect more insects because they have more room to travel if they’re in the air instead of on the ground. The rabies virus is also a common example; the classic “foaming at the mouth” appearance is actually a result of overproduction of saliva that contains the virus itself. The virus makes the host more aggressive, increasing the likelihood that it will bite others and spread the infection. Also, the common rumors that rabies makes you scared of water aren’t entirely false. While it doesn’t actually create a fear of water, the infection causes painful throat spasms that make swallowing difficult—so infected animals avoid drinking, which keeps the virus-rich saliva from being washed away.

Image: an ant infected with Ophiocordyceps unilateralis; Tiago Lubiana via Wikimedia Commons, CC-BY-4.0)

The world is full of parasites that alter behavior in oddly precise ways, all in an effort to increase their own survival and reproduction. These manipulations aren’t random—they’ve evolved over time through complex, codependent relationships that change predator-prey dynamics, influence brain chemistry, and even change how energy moves through ecosystems. Parasites like T. gondii show just how interconnected species are to each other; no species exists in a vacuum, and even something as small as a single-celled organism can affect completely different species; any tiny piece of something has the potential to change everything else.


Anya Reddy is a high school student at Blue Valley North. She loves biology and biochemistry, as well as entomology, ecology, and environmental science in general. Some of Anya’s non-science passions include archery and all kinds of 2D and 3D art. She enjoys learning about all kinds of organisms and how they connect and interact with others in their environment; she hopes to use writing to help share fascinating details about them, helping others like the weird and interesting organisms she loves.


Dig Deeper

Featured Creature: Macrotermes Termites

What is the second most consumed insect group in the world (by humans) that can build nests with heights up to 9 meters (29.5 feet) and has a symbiotic relationship with fungi?

Macrotermes carbonarius (Image Credit: Soh Kam Yung via iNaturalist (CC-BY-NC))

As a featured creature writer for Bio4Climate, I try to read through as many of our published pieces as possible, even those that pre-date my tenure. It’s a tall order, there are so many! Hidden alongside the grand humpback whale, the impressionable Pando, and the beautiful luna moth, I found Fred Jennings’ piece on the zombie ant fungus: an unpleasant looking insect-pathogenic fungus that attaches to ants’ exoskeletons and takes over their bodies from the inside out. It was a little grotesque, a little unsettling, and completely and utterly fascinating. 

I’ve been wanting to write about a creature that doesn’t usually make the highlight reel…something easy to overlook, but essential in its own way. My hope is to inspire curiosity (and appreciation) for the parts of nature that don’t always fit our ideas of beauty.

More Than Just Pests

When I think of termites I think about how people, especially homeowners, consider them pests. One of the first links that pops up in an online search for the word termites is the U.S. Environmental Protection Agency’s guide for how to identify and control them. But just as it’s unfair to call sloths lazy simply because they move slowly, it’s unfair to define termites only by their “pest” status. They weren’t ever “pests” until we made them so. 

Macrotermes vitrialatus (Image Credit: Craig Peter via iNaturalist (CC-BY-NC))

Macrotermes are fungus-growing termites that reside in tropical regions of Africa and Asia. These insects are larger than other common termites, the largest of all 330 species being the Macrotermes bellicosus, with queens reaching over four inches in length! Most of these bugs are dark brown, with some exceptions like the Macrotermes carbonarius, which are entirely black, and the Macrotermes gilvus, which have orange/red-brown heads.

Termites are a valuable part of many ecosystems. Like fungi, bacteria, and detritivores like millipedes, they decompose dead plant material, modifying the physical and chemical distribution of the soil. Creatures like termites restore soil that’s been degraded and play a key role in cellulose recycling, breaking down plants, wood, and paper into smaller molecules other organisms can use, and returning nutrients to the ecosystem. But, these termites are pretty special for a reason other than their role as ecosystem engineers.

Teamwork Makes the Colony Work

Macrotermes thrive thanks to teamwork, and a symbiotic partnership with a fungus that shares their life cycle. It’s remarkable that these termites (just like other creature populations) cooperate so well in such large numbers. Macrotermes colonies have a highly organized social system in which each insect has a role that makes life efficient and successful: workers gather food and build and maintain the nest/mound, soldiers use their strong jaws to protect the colony from predators like ants, and the queen and king reproduce. This social complexity is mirrored by the colony’s architecture. 

Macrotermes carbonarius (Image Credit: Dirk Mezger via iNaturalist (CC-BY-NC))

Termite mounds aren’t just shelters, they’re marvels of natural engineering. Built with purpose, these architectural feats regulate temperature and humidity to create the ideal environment for the termite’s fungal partner, Termitomyces, to grow. After foraging for wood or dead plant material, Macrotermes workers masticate and deposit it in chambers inside their nest, producing the perfect substrate for fungus to grow into a comb. Macrotermes cultivate these fungus gardens and feed on them while the fungus degrades plant material, resulting in a continuous supply of food for the termites. To stimulate the right conditions for Termitomyces to grow, macrotermes build their nests with air ducts and ventilation systems. As the fungus produces heat in the nest, workers can open or block individual tunnels that lead to the surface to regulate temperature and humidity. These structures are built to various heights, with some only one foot tall while exceptional ones can rise more than 30 feet. 

Macrotermes and Humans

Macrotermes termites are an important edible insect widely consumed throughout Africa, along with their fungus gardens. People use the bugs, mushrooms, and termite soil in medicinal practices. The soil can be used as fertilizer or as building material to make bricks and plaster houses. These insects are also used as bait and feed for livestock. Alongside these uses, macrotermes termites have a role in superstitious beliefs, their nests serving as burying places associated with the spiritual world.

Outside their habitat in urban environments, most macrotermes are unable to survive, so they aren’t considered pests like other termites because they don’t cause as much damage to wood structures like homes and buildings. In contrast, macrotermes can pose threats to agriculture by directly consuming crops, roots, and stems of plants. But, like nearly every other creature in the natural world, these bugs don’t live without some challenges of their own.

The largest threat to termites is changes in land use; particularly transitions to organized orchards and more intensified agricultural practices. As ecosystem engineers that contribute directly to the nutrient makeup of the soil in their ecosystem, the changes in land use can have damaging effects on the landscape and organisms throughout the food cycle.

Macrotermes carbonarius (Image Credit: budak via iNaturalist (CC-BY-NC)) 

Nature deserves to be seen in its full complexity, not just through the lens of what we find beautiful, helpful, scary, or annoying. When we only celebrate the vibrant colors, graceful shapes, or soothing sounds, we risk overlooking the strange, the hidden, and the essential. 


Abigail Gipson is an environmental advocate with a bachelor’s degree in humanitarian studies from Fordham University. Working to protect the natural world and its inhabitants, Abigail is specifically interested in environmental protection, ecosystem-based adaptation, and the intersection of climate change with human rights and animal welfare. She loves autumn, reading, and gardening. 




Dig Deeper


Featured Creature: Aardvark

What unique animal could be a cross between a rabbit, a pig, an opossum, and an anteater?

The aardvark!

Photo by Kelly Abram from iNaturalist

Meet the aardvark – a one-of-a-kind mammal native only to sub-Saharan Africa.

The aardvark has an unusual hodge-podge mix of features including rabbit-like ears, a pig-like snout, an opossum-like tail, and a long, sticky anteater-like tongue. This creature has large and formidable claws used for digging and defense. Weighing in at 115 – 180 pounds, the aardvark is much heftier than it looks. 

Aardvarks inhabit the savannas, arid grasslands, and bushlands of sub-Saharan Africa where there is plenty of their favorite prey, ants and termites. They are solitary and do not socialize with others unless for mating or raising young. They live for about 18 years in the wild and approximately 25 years in captivity.

The aardvark is famous for being the first noun in the English dictionary. The animal goes by many names including Cape anteater and ant bear, but its colloquial moniker, aardvark, is Afrikaans for “earth pig”.

Photo by Louise Joubert from Wikimedia Commons

Odd Relatives

Although the aardvark is an eater of ants, it is not an anteater. Understandably, the comparison comes from its similar appearance and nearly identical diet to the anteater, which leads people to assume they are the same animal. However, the aardvark is its own species entirely, and in fact, it is more closely related to elephants than to anteaters. 

Unique Diet

Aardvarks are insectivores that eat ants and termites. They use their keen sense of smell to locate ant nests and termite mounds over great distances. Aardvarks have the highest number of olfactory turbinate bones of any mammal on the planet. An aardvark has about 9 -11 of these specialized bones which help support the olfactory bulb in the brain, where smells are processed. This larger-than-average olfactory system allows the aardvark to track such tiny creatures like ants and termites from far away. They have been observed swinging their heads back and forth close to the ground, much like a metal detector, to pick up a scent. 

Once an aardvark locates a termite mound, it uses its claws to break open the cement-hard structure. Its tongue, coated in sticky saliva, slurps up the exposed insects in seconds. The highly adapted tongue of an aardvark can be up to 1 foot long. Over the course of a night, a single aardvark eats over 45,000 termites. Amazingly, all of this is done without chewing. 

While aardvarks are classified as insectivores, they make one exception in their diet for a very unique fruit, the aardvark cucumber. This African melon looks similar to a cantaloupe but is grown completely underground. Aardvarks easily dig up the fruit and eat its watery, seed-filled interior. Once the fruit is digested, the seeds are dispersed by the aardvarks that cover their dung in dirt, effectively planting these seeds in the soil with a natural fertilizer. This symbiotic relationship helps propagate the aardvark cucumber, whose existence is entirely dependent upon the aardvark.

Photo by Nick Helme from Wikimedia Commons

Cultural Significance

The aardvark is regarded as a symbol of resilience in some African cultures due to its unrelenting bravery in tearing down termite mounds. The aardvark has very thick skin which helps avoid injury from hundreds of termite and ant bites. Because of their nocturnal habits and solitary nature, aardvarks are not a common sight during the day. It is said that anyone who is lucky enough to see one is blessed. 

Earth Engineer

Aardvarks are adept earth-movers known to create specialized burrows to live in. These burrows provide shelter away from the sun and from predators. Its powerful claws are specially adapted to move massive amounts of dirt in minutes, which helps the aardvark excavate multiple chambers within the den.  

Some burrows can be up to 10 feet deep and over 20 feet long. There are multiple entrances to the same burrow so the aardvark has a chance to escape if a predator poses a threat. Aardvarks have been observed to be very cautious creatures and practice an unusual ritual before exiting their abode. The aardvark stands at the edge of its burrow and uses its excellent sense of smell to detect any nearby predators. It listens for danger and emerges slowly. The aardvark then jumps a few times, pauses, and heads out for the night. Because aardvarks are primarily nocturnal, they don’t have much need for vivid sight and are colorblind. Their long ears and nose do the seeing for them. 

The physiology of these soil architects may strike some as strange, but it serves a purpose. The odd, arched silhouette of the aardvark is caused by its hind legs being longer than its front, which gives them a stronger stance when digging. This adaptation, combined with their formidable claws and muscular forelimbs, allows the aardvark to dig a hole 2-feet deep in just 30 seconds – much faster than a human with a shovel.

Photo by Louise Jobert from Wikimedia Commons

Ecological Importance

When aardvarks have depleted most of their territory’s termite mounds or ant nests, they must move on to new hunting grounds. Their abandoned burrows don’t stay empty for long and are occupied by a variety of species. Hyenas, wilddogs, warthogs, civets, and porcupines make their homes in aardvark burrows. The aardvark has an incredible impact on its environment by sculpting the very landscape itself and providing shelter for other creatures.

If you want to learn more about how aardvark burrows support other animals, check out this article documenting the one of the first observations of predators and prey cohabitating in the same burrow.

Burrowing away now,
Joely


Joely Hart is a wildlife enthusiast writing to inspire curiosity about Earth’s creatures. She holds a Bachelor’s degree in creative writing from the University of Central Florida and has a special interest in obscure, lesser-known species.


Sources and Further Reading:
https://www.miamiherald.com/news/nation-world/world/article274890346.html
https://www.thoughtco.com/10-facts-about-aardvarks-4129429
https://a-z-animals.com/animals/aardvark/
https://animalia.bio/aardvark#facts
https://www.britannica.com/animal/aardvark
https://carnegiemnh.org/a-is-for-aardvark/
https://nationalmuseumpublications.co.za/aardvarks-orycteropus-afer-and-their-symbolism-in-african-culture/

Featured Creature: Zombie Ant Fungus

What creature preys on ants and other insects, invading their bodies, seizing control of their minds, and killing them off to reproduce, all the while inspiring zombie stories that terrify us humans?

Welcome to Zombie Ant Fungus, or Ophiocordyceps Unilateralis!

Photo from Encyclopedia Britannica

One of the most amazing things about being in touch with the natural world is the uncontained sense of wonder that infuses us as we learn about the incredible range of biodiversity out there to be discovered. My recent pieces on Mantis Shrimp and Ghost Pipes are good examples of diversity and symbiosis, while this curious creature shows off the parasitic side of interspecies relationships. Ophiocordyceps unilateralis, commonly known as Zombie Ant Fungus, is an insect-pathogenic fungus, discovered by the British naturalist Alfred Russel Wallace in 1859, and currently found mostly in tropical forest ecosystems.

The Zombie Ant Fungus is like no other creature I know; it’s like a runaway horror movie that even ants shall encounter with fear, and try their best to avoid. Its story is intriguing and represents scary stuff. Indeed, this strange creature is featured in two books by M. R. Carey called The Girl with All the Gifts and The Boy on the Bridge, as well as in a video game and show, The Last of Us, which recently wrapped up its first season to critical acclaim. In that feature, humans struggle to survive after an infectious fungus turns us into zombies largely in the style of Ophiocordyceps

Who knew that such an innocent seeming creature could become so devious and troublesome? Is there anywhere for us to hide? We need not worry. This pathogen can’t transfer to us, or at least to do so would take many millions of years. So I guess we can relax…

Photo from Shutterstock

There are some major differences between how the fungus is portrayed in shows like The Last of Us and in real life. Cordyceps does not typically infect other hosts through the mouth, and the infected aren’t connected to each other through a network. 

Most importantly, the fungus cannot infect humans, because our body temperatures are too high for most of them. Phew! In fact, people have been eating Cordyceps for centuries now without turning into zombies. It’s a traditional Chinese medicine, used to treat kidney disease and other ailments. So let’s set aside these worries, and get back to the reality of these intriguing creatures.

Photo from the New York Times

A Sinister Cycle

These fungi live in jungle habitats, such as in tropical forests, where a species of carpenter ant, Camponotus Leonardi, lives in the high canopy and has an extensive network of aerial trails. But sometimes the canopy gaps are too far apart and difficult to cross, so the ants’ trails descend to the forest floor where they are exposed to Zombie Ant Fungus (Ophiocordyceps unilateralis) spores. 

The spores attach to these ants’ exoskeletons and break through, invading its host’s body as a parasite. Like other fungi pathogenic to insects in the genus Ophiocordyceps, this fungus targets a specific host species, in this case the carpenter ant. However, this fungus may also parasitize other closely related species of ants or other insects, though these come with lesser degrees of host manipulation and reproductive success. Some of this fungus’ subspecies, such as Ophiocordyceps sinensis, colonizes ghost moth caterpillars instead of carpenter ants and erupts from their head like a unicorn horn.

Check out the sprouting phenomenon taking place in an infected bullet ant:

As in zombie lore, there’s an incubation period where infected ants appear quite perfectly normal and go about their business undetected by the rest of the colony. First, the spore infects the ant and fungal cells start growing inside its body with no notable effects from the outside. But eventually, the infected ant stops participating in the foraging efforts of the colony and stops communicating well with its nest-mates. Then the ant becomes hyperactive and departs from the daily rhythms of the other ants. 

Most carpenter ants, for example, forage during the nighttime, but the infected ant basically becomes active all the time. That’s unusual because social insects like ants usually have something called “social immunity”, where sick members get kicked out of the group to prevent the rest from becoming infected by them. Unfortunately, some ants don’t always employ this mechanism to effectively protect themselves from Ophiocordyceps

While the infection is 100 percent lethal, the goal of this fungus isn’t to convert all the ants into the walking dead. For ecosystems to stay balanced, these fungi tend to keep host populations in check by usually only infecting a few ants in a local colony at any given time, though they also have been known to wipe out entire colonies of ants at times.

Dead Adult Calyptrate Fly by a fungus of the Genus Ophiocordyceps
Photo from Getty Images / iStockphoto

This particular species of Zombie Ant Fungus drops its spores in the jungle on ants and takes sufficient control of them that they leave their nest and fellow ants to climb up off the jungle floor to a height of exactly 10 inches (25 cm) where the conditions are just right for the fungus to thrive and propagate.

The designated victim then attaches to the underside of a leaf with its mandibles while the fungus grows inside its host and sprouts a tiny mushroom-like growth. This fruiting body of fungus eventually distributes its spores to continue this cycle of propagation, infecting more ants in turn in a manner that is capable of infecting entire ant colonies. 

Spread through Time and Space

This species shows some morphological variations due to its wide geographic range from Japan to the Americas. This may result from host-specific commitments to diverse species of ants in different areas, and helps avoid subspecies competition by occupying distinct ecological niches.

Photo from Wired

Ophiocordyceps also appears to be an ancient creature. In 2010, scientists identified a 48-million-year-old fossil of a Zombie Ant with a death grip on a leaf, verifying that zombifying fungi have been around for a while. But this fossil didn’t offer hints on how the fungus evolved. 

Further work concluded that all Ophiocordyceps species descended from a common ancestor which started out by infecting the larvae of beetles that lived in rotting logs. When the beetle eggs hatched, the larvae crawled around alone inside the log, chewing on wood. When beetle larvae came into contact with a spore, the fungus would then invade the insect’s body to feed on its muscle, killing the beetle without any zombie drama. After that, the fungus would grow its stalk and spread spores around the dead body. Other larvae crawling inside the log were thus infected, prolonging this cycle of life and death.

 

Schematic representation of the ant behavioral manipulation caused by natural products secreted by Ophiocordyceps unilateralis from Wikipedia

The theory is that millions of years ago, the fungi got picked up by ants that also lived in logs. In their new ant hosts, the fungus had already acquired an ability to feed on muscles, grow stalks and spread. 

But these ants brought a new challenge, because, unlike solitary beetles, ants live in crowded nests. Diseases can wipe out an entire colony, so the ants ruthlessly attack any individuals that show signs of sickness. This meant that Ophiocordyceps could not spread the way it had in beetles, just by killing its host and sending out spores. However, by keeping ant hosts healthy enough as they were being parasitized, the invasive fungus could zombify the ant host to move it out of the main nest of ants and climb up a nearby plant, from which it could spread its spores to other potential hosts. 

This is how the fungi’s transition to ants set off an evolutionary explosion. Once Ophiocordyceps had evolved to live in one species of ant, it began hopping to other new species. It is also suspected that there are hundreds of other species of Ophiocordyceps still to be discovered, perhaps with a wider range of potentially infectious impact…

Photo from Live Science

Growth by Infection

When the fungus infects a carpenter ant, it grows through the insect’s body, draining it of nutrients and hijacking its mind and behavior. Over the course of a week, it compels the ant to leave the safety of its nest and ascend a nearby plant stem. When this fungus invades the ant, taking over its muscles and mandibles, there is apparently no intervention into the ant’s brain itself. 

The invasive fungus forces the ant to permanently lock its mandibles around a major vein on the underside of a leaf to attach itself. The ant then loses control of its mandible and remains fixed in place, hanging upside-down on the leaf. This lockjaw trait is popularly known as the “death grip” and is essential in the fungus’s lifecycle. This “death grip” prevents the ant from falling as it dies hanging upside down, thus enabling the proper growth of the fungus’ fruiting body. The “death grip” is thought to be caused by a secretion of fungal compounds that atrophies the ant’s mandibular muscles, making it impossible for the ant to unclench.

Mandibular “Death Grip” (Photo by Katja Schultz from Flickr)

Once the ant is in place on the leaf’s underside, more fungal mycelia sprout, securely anchoring it to the plant substrate while secreting antimicrobials to ward off any other competitive fungi. Next, the fungus sends a lengthy growth through the ant’s head, growing into a bulbous capsule full of spores on a single, wiry yet pliant, darkly pigmented stalk rising through the back of the ant once it is dead. 

This spore-bearing sexual structure appears as a bulge on the stalk, below its tip, which forms the fungus’ fruiting body. As the ant typically climbs onto a leaf that overhangs its colony’s foraging trails, its fungal spores will then rain down upon fellow ants below, ensuring that the cycle continues.

How to Create a Zombie: The View from the Inside

How this fungus takes over its host has been carefully analyzed. Once spores drop onto an ant, they attach to the ant’s exoskeleton and eventually break through it with mechanical pressure and the help of enzymes. Yeast stages of the fungus spread throughout the ant’s body and apparently produce compounds that affect the ant’s behavior such that it exhibits irregularly timed full-body convulsions that dislodge it from its canopy nest, dropping it to the forest floor. These infected behaviors work for the benefit of the fungus in terms of its own growth and transmission, increasing its fitness and survivability.

Photo by Andreas Kay

When the fungus first enters its host, it floats around the ant’s bloodstream as single cells, replicating copies of itself. Then, at some point, these single cells join together by building short tubes, which are  only seen in fungi that infect plants. Hooked up together in this way, these cells in tubes successfully communicate and exchange nutrients with each other. 

The next step is to invade the ant’s muscles, either by penetrating muscle cells or growing into interstitial spaces between these cells. The result is a muscle fiber encircled and drained by a network of interconnected fungal cells in a manner unique to this species, as shown in this brief simulation that represents the process quite clearly.

Zombies that don’t eat brains?

The Zombie Ant Fungus is often described as a single entity, which corrupts and subverts a host. But this fungus can also be seen as a colony, much like the ants it targets. Individual microscopic cells begin life alone but eventually come to cooperate, fusing into a superorganism. 

Together, these brainless cells can take control of a much larger creature and manipulate its behavior. But perhaps surprisingly, they do that without ever physically entering or touching the brain itself, while infiltrating the ant’s body and muscles, including its head. Thus, this fungus can manipulate its host through a very precise sort of chemically-guided muscular control that does not affect the ant’s brain. This makes the intricacy of the fungal invasion even more compelling and disturbing, depending on how aware the ant is of this intrusive occupation.

Photo from Earthly Mission

Maintaining the Life Cycle

It is worth noting that throughout its lifecycle, the fungus must meet unique challenges in its metabolic activities. First, the fungal pathogen must attach securely to the arthropod exoskeleton and penetrate it – while avoiding or suppressing its host’s defenses – and then control its host’s behavior before killing it. Finally, it must protect the ant’s carcass from microbial and scavenger attack so that it can reproduce successfully. 

This invasion process, leading up to the host ant’s mortality, takes 4–10 days, and includes a reproductive stage where fruiting fungal bodies emanate from the ant’s head, eventually rupturing to release fungal spores. However, the short viability of the fungal spores presents a challenge. The fungus uses its host’s vitality to sustain the growth of the fungus’s fruiting body and enable successful reproduction. To do so, this fungus fortifies the ant cadaver to prevent its decay, which consequently ensures the prolonged growth of the fruiting body. 

But this composite creature of zombie-ant fungus is, in turn and ironically, susceptible to fungal infection itself. This can limit its impact on ant populations, when it might otherwise devastate entire ant colonies. Ophiocordyceps unilateralis suffers from an unidentified fungal hyperparasite, reported in the press as the “antizombie-fungus fungus,” that results in only 6–7% of the primary parasite’s spores being viable, limiting the damage this fungus can inflict on ant colonies. This hyperparasite attacks Zombie Ant Fungus just as the fungal stalk emerges from the ant’s body, thus stopping the stalk from generating and releasing its spores. 

This suppressive effect is caused by the weakening of the fungus by the hyperparasite, which may limit the viability of its infectious spores. There are additional species of fungi that can grant beneficial and protective assistance to the ant colony, as well. A complicated picture indeed!

Dr. João Araújo of the New York Botanical Garden and his team discovered two new genera of fungus. (Photos by João Araújo)

For example, two novel lineages of fungi, each belonging to its own genus, were recently discovered infecting a species of Zombie Ant Fungus in Florida. One puts a fuzzy white coating on the Zombie Ant Fungus, while the other is harder to spot, with little black blobs that look like fleas. The fungi attacking the Zombie Ant Fungus don’t zombify their host, but they do feed on its tissues and appear to cause it harm by castrating the fungus so it cannot shoot its spores any longer. Then the attacker proceeds to grow and consume the entire fungus. 

Though these new parasites are the first to be seen to infect the Zombie Ant Fungus, there could be others out there. Parasitism is a lucrative form of lifestyle, experts say; it might even be the most dominant one on the planet! (Maybe our politics illustrate that…)

Ants also can protect themselves by grooming each other to remove microscopic organisms that could potentially harm the colony. Consequently, in host–parasite dynamics, both the host and the parasite are under selective pressure: the fungal parasite evolves to increase its successful transmission for reproduction, while the ant host evolves to avoid or resist the infection by the parasite, in this case the Zombie Ant Fungus. And so an evolutionary battle continues…

A fuzzy white fungus grows on top of the parasitic Zombie Ant Fungus
(Photo by João Araújo)

The principal carpenter ant hosts of Ophiocordyceps unilateralis have also evolved adaptive behaviors to limit the contact rate between uninfected and thus susceptible hosts and already infected hosts, thereby reducing the risk of transmission to their healthy fellow ants by evolving efficient behavioral forms of social immunity. As mentioned, the ants clean the exoskeletons of one another to decrease the presence of spores which are attached to their cuticles. 

These ants also notice the abnormal behavior that indicates when a member of the colony is infected, resulting in healthy ants carrying infected individuals far away from the colony to avoid fungal spore exposure. Furthermore, since most worker ants remain inside the nest boundaries, only foragers who venture outside are at any significant risk of infection. 

In addition, the fungus’s principal host species, the carpenter ant (or Camponotus Leonardi) tries to avoid the forest floor as a defense method by building its nests high in the canopy, with a broad network of aerial trails. These trails occasionally must move down to the ground level, where infection and graveyards occur, due to wide canopy gaps difficult for the ants to cross while staying safely high in the forest canopy. When these trails do by necessity descend to the forest floor, their length on the ground is as short as possible, only 10-18 feet (3-5 m) or so before climbing back up into the canopy. This shows that these ants avoid zones of infection wherever they can. This method of defense appears to be adaptive to this specific threat, as it is not observed in undisturbed forests where the Zombie Ant Fungus is absent.

Photo from the New York Times

When Ophiocordyceps unilateralis-infected ants die, they are generally found in regions containing a high density of ants which were previously manipulated and killed, which are termed “graveyards” of 70-100 feet (20-30 m.) in range. The density of dead ants within these graveyards can vary with climatic conditions, where humidity and temperature influence this fungus’s effects on the host population. It seems that large precipitation events at the beginning and end of the rainy season stimulate fungal development, which leads to more spores being released and ultimately to more individual ant hosts being infected and killed.

The Wide World of Insect Parasites

What we have here is a hostile takeover of a uniquely malevolent kind. Enemy forces invade a host’s body and use that body like a walkie-talkie to communicate with its fellows to influence the brain from afar, while exercising a more direct control over the ant’s muscles like a puppeteer. Once an infection is underway, the neurons in the ant’s body that give it control of its muscles start to die, as this fungus slowly takes over, effectively cutting the host ant’s limbs off from its brain, as it inserts itself in that place, releasing chemicals that control the ant’s muscles. After the fungus enters the ant, it propagates its invasive cells until they surround the host’s brain, at which point the fungus secretes compounds and takes over the ant’s central nervous system, enabling it to manipulate the ant to reach the forest floor and climb up the vegetation.

Photo from How Stuff Works

In this way, the ant ends its life as a prisoner in its own body, with its brain still in the driver’s seat while the fungus has seized control of the steering wheel in a cruel prolonging of the ant’s death in an agony of helpless surrender. The fungus survives and propagates successfully at the cost of these ants in this dark drama. 

But not only ants can be infected with these creative parasites. 

Much like the microbiome in our own guts, insects contain a whole array of fungal species, of which few have been closely studied, much less flagged for causing behavioral manipulations. Some are known, however. 

One example is Entomophthora muscae, which literally means “insect destroyer of the fly” in Greek. It causes infected flies to climb a certain height, glue themselves at the mouth to a plant, and assume an abdomen-up “death pose” that’s optimal for spore dispersal. (Watch the flies turn into zombies here.)

And there’s Massospora cicadina, which pumps its cicada hosts full of hallucinogenic drugs and causes part of their abdomens to fall off. The bare-bottomed cicada then wiggles its way towards death – once again in the interest of spore dispersal.

Could this happen to us? Personally, this whole scenario gives me the willies, leaving me surprisingly sympathetic to these victimized ants and other infected insects, while also being enthralled by a sense of wonder about the endless variety of nature’s solutions to the reproductive urge of species to propagate themselves. Perhaps we humans should become more alert to all these striking opportunities for Mother Nature to assert her ultimate dominance over us. Some scientists believe that, by studying this Zombie Ant Fungus, we can learn a lot more about how the brain works – and how it might be taken over, which is surely some food for dystopian thought.

Photo from Utrecht University

Medicinal Properties

Ophiocordyceps are known in the pharmaceutical world to be a medically important group. These Zombie Ant Fungi (Ophiocordyceps unilateralis) and related species are known to engage in an active secondary metabolism to produce antibacterial substances that protect the fungus-host ecosystem against further pathogens during fungal reproduction. 

Because of this secondary metabolism, chemists who study natural products have taken an interest in this species, discovering small molecule agents of potential interest for use as human anti-infective and anticancer agents. These natural products are reportedly being investigated as potential leads in discovery efforts toward the treatment of immune diseases, cancerous tumors, diabetes and high cholesterol levels. 

Another species of fungus, Ophiocordyceps sinensis, already mentioned above as a parasitic fungus-caterpillar husk combination, is prized in traditional Tibetan and Chinese medicine as an immune booster, cancer treatment, and aphrodisiac.

Moreover, red naphthoquinone pigments produced by Ophiocordyceps unilateralis are used as a dye for food, cosmetic, and pharmaceutical manufacturing processes. Curiously, naphthoquinone derivatives produced by the fungus also show a red color under acidic conditions, and a purple color under basic conditions. These pigments are stable under a wide variety of conditions as well as not being toxic, which makes them applicable both for food coloring and as a dye. 

These attributes also make it a prime candidate for antituberculosis testing in TB patients, by alleviating symptoms and enhancing immunity joined with other chemotherapy drugs. So even this seemingly-nasty creature has some benefits for us humans, once we are able to look beyond its fearsome characteristics.

But this is so generally true of the wondrous variety of nature’s creatures such as featured in this series. We look at them through our human eyes, asking what they can do for us, when the whole natural world is swimming along quite well without our help or needing us for anything. The whole system should have our respect, just for including us in its amazing complexity of life forms and how it all works.

So here’s to a totally infectious and all-consuming curiosity!

Fred


Sources:
https://www.pnas.org/doi/full/10.1073/pnas.1711673114
https://hasanjasim.online/how-the-zombie-fungus-infects-ant-bodies-and-takes-control-of-their-minds/
https://en.wikipedia.org/wiki/Ophiocordyceps_unilateralis
https://www.nationalgeographic.com/animals/article/cordyceps-zombie-fungus-takes-over-ants
https://www.cnn.com/2022/11/18/world/zombie-ant-fungus-parasite-mystery-scn/index
https://www.npr.org/2023/01/30/1151868673/the-last-of-us-cordyceps-zombie-fungus-real
https://www.vox.com/culture/2023/1/21/23561106/last-of-us-fungus-cordyceps-zombie-infect-humans
https://www.nytimes.com/2019/10/24/science/ant-zombies-fungus.html
https://www.nature.com/articles/s41598-020-63400-1
https://www.nationalgeographic.com/science/article/parasitic-fungus-evolve-to-control-humans

Featured Creature: Turkey Tails

Which fungi creature gets its name from a bird, helps heal internal wounds, and benefits people worldwide?

Turkey tails!

Reinhold Möller (CC BY-SA 4.0 via Wikimedia Commons)

This year I took two trips – one to Nashville, Tennessee and another to the Northeast, specifically to White Mountain National Forest in New Hampshire (Abenaki Penacook land). Both of these places have more trees than I’m used to in Southern California, so I was instantly amazed by everything that grew throughout these forest wonderlands, especially the turkey tails.

A Bird Fungus

Turkey tails have three scientific names (depending on whom you ask): Trametes versicolor, Coriolus versicolor, and Polyporus versicolor. The common name, turkey tail, derives from the mushroom’s bands that resemble a wild turkey’s tail in color and shape. The ‘versicolor’ in the scientific names refers to the mushroom’s cap and its many colorations, from white, red, orange, to dark brown. This part of the mushroom has a fuzzy texture, almost as if it had tiny hairs all over, and is extremely flexible so you can bend it without breaking it. The ‘trametes’ in one of the scientific names refers to the genus, and the ‘polyporus’ refers to the placement of the pores. Turkey tails are a type of mushroom with pores on their undersides, in contrast to other mushrooms that have gills on their sides. 

Polyporous mushrooms tend to grow on dead logs. Turkey tails can be found on fallen trees in nearly every forest worldwide. They grow year-round, but will be extra easy to spot when it’s time to release their spores (in North America, this happens between May and December). You can identify a family of turkey tails by their banding pattern – all the offspring of one individual will sport the same pattern as their ‘parent.’ It’s a fungal fingerprint!

Healthy Tails

Apart from their colors and tail-like shapes, turkey tails are extra intriguing for their health benefits. They contain numerous properties, including:

  • Antioxidants, such as phenols and flavonoids, which reduce inflammation and oxidative stress (an imbalance in our systems when we’re unable to detoxify).
  • Protein-bound polysaccharides (carbohydrates), one being Krestin which promotes immunity to toxins and regulates immune responses. It also activates white blood cells which protect our bodies from harmful bacteria.
  • Prebiotics, which foster beneficial bacteria. They also regulate our gut microbiome, leading to better digestion and lower cholesterol.
  • Fiber, found in many mushrooms, which also promotes better digestion.

People who consume turkey tail extract report better athletic performance, less fatigue, and when combined with chemotherapy, increased effectiveness of cancer treatments. By promoting our body’s natural production of beneficial compounds, and counteracting substances that harm us, turkey tails improve overall health when taken as a supplement.

Matthew Kvocera (CC BY 4.0 via Wikimedia Commons)

Turkey Tea

There are some mushrooms you can eat right after foraging, but turkey tails are not one of those. To receive the many benefits from Trametes versicolor, you’ll need some prep work.

Due to the thick and woody structure of turkey tails, they’re extremely difficult to consume and, therefore, essentially inedible. However, when you dry them out and grind them to create a powder, you can reap their benefits in no time. After letting them dry, and cleaning them to ensure no dirt or insects remain, you can grind them up. The resulting powder can be put into capsules to be taken as a pill-based supplement, or you can brew some tea to extract the most beneficial compounds. Other mushrooms require a process that involves alcohol before eating, but not turkey tails! 

If you’re feeling creative, you can also add the powder to your everyday meals. Since these mushrooms are relatively plain in flavor, people will add the extract to smoothies, oatmeal, or soup to add taste. The powder can be stored for years as long as it’s in an airtight container and kept in the pantry, away from the heat and sun.

We can thank ancient teachings for these turkey tail tips. Traditional Chinese medicine is the first documented time people practiced the art of extracting beneficial compounds from turkey tails. They originally used the extract to treat lung, liver, and spleen issues.

If you try any of these recipes, let us know your experience (you can email us at staff@bio4climate.org)!

A word of caution: If you do decide to forage, for turkey tails or any other organisms, please do so with consideration for the local ecosystem’s health. Only forage what you need, so as to not exploit natural resources.

It’s also best to forage with others when starting out (and it’s more fun this way!). You could join a local foraging group to gain access to resources regarding ecosystem health and potential contaminants in the area. This way, you can learn how to forage without causing harm to your body, other people, or the landscape.

Tea time, anyone?

Tania Roa


Tania graduated from Tufts University with a Master of Science in Animals and Public Policy. Her academic research projects focused on wildlife conservation efforts, and the impacts that human activities have on wild habitats. As a writer and activist, Tania emphasizes the connections between planet, human, and animal health. She is a co-founder of the podcast Closing the Gap, and works on outreach and communications for Sustainable Harvest International. She loves hiking, snorkeling, and advocating for social justice.


Featured Creature: Clamworm

Photo by Alexander Semenov

What sort of worm is festooned with sensitive tentacles all the way down its sides and – though it can’t bark – has a nasty bite?


That would be the “clam worm” or alitta succinea, a denizen of estuarial waters.

Alternative names

I’ve always called them “seaworms” but they are normally known as “clam worms,” “ragworms,” “sand worms” or “pile worms”, and they are a species of annelid, the phylum of segmented worms.

Size and habitat

The clam worm can reach up to 15 cm (almost 6 inches) but most are smaller. This worm is reddish-brown in color, and has four eyes, tentacles or flaps all the way down its sides which can also function as gills, and sensory feelers at its head. 

When hungry, it uses a long internal mouthpart called a proboscis, along with two hooks that unfold to capture and then draw prey into a mouth at its front end. These worms are themselves an important food source for fish and crustaceans, and are widely used as fishing bait. Their typical habitat is rocks, vegetation, reefs, and mud. They burrow into the mud or sand, or hide under rocks, to be safe from many potential predators.

Photo from wikimedia.org

My own first encounter 

In my early teens, my father and I used to fish for striped bass with a flashy lure with a seaworm strung on a hook behind it. “Here’s how you do it,” my father counseled me. “Just poke the worm in its mouth and, as soon as it opens, insert the hook point.”

“Owww!!!” I exclaimed. “This worm bit me!” My father laughed, almost as hard as during one of my earlier ‘learning moments’ in a Maine field, when halfway over an electric fence I got shocked! On neither occasion did I expect the bite, but I eventually learned to be more careful. Those pincers were sharp! 

The pincers’ zinc content makes them strong while keeping them very lightweight. They certainly drew my blood that first time! The fish surely liked these worms, but eventually I gave them up for flies (less messy and easier on the worms).

Spawning behavior 

During the full and new moon tides in the late spring and early summer, these clam worms undergo a process called epigamy, which enlarges their parapodia (tentacles) so they can swim more easily to the surface to release their eggs and sperm, at which point their bodies rupture and disintegrate. Talk about dying to reproduce! One hopes at least they have fun on their way out. Their fertilized eggs then settle to the bottom and hatch into a new generation.

Replacement parts 

These worms can replace various body parts, and make new worms from broken pieces, such as when their tails are pulled off by a predator. But rear body segments are more readily repaired than heads, which are much harder to replace – those of us our heads still on can probably relate!

Check out a short video on clam worms and their special properties:

Their role in marine ecosystems 

The tunneling and boring of marine worms irrigate and oxygenate the shallow water pools encouraging beneficial plant and algae growth. Whether it’s in tide pools, lowland waters or oceanic reefs, the marine worm’s primary ecological contribution is as sustenance for aquatic animals further up the food chain. Species of these worms respond quickly to increased amounts of pollution in the water and on the ocean bottom. Their presence or absence may indicate important changes in the marine environment.

Some subspecies are at risk, but clam worms are OK 

Most of this species is doing just fine, at least when not being used for bait or eaten by humans. However, you might just want to think twice before skinny dipping on May-June new or full moon tides!

By Fred Jennings

Featured Creature: Slime Mold

Photo Credit: Yamaoyaji/Shutterstock

What brainless creature can learn, problem solve, and even hold down a job? 

The slime mold!

Photo by Bernard Spragg (CC0 via Wikimedia Commons)

Slime molds are eukaryotic organisms (a type of organism with membrane bound organelles, like nuclei) that can live either as single-celled individuals or clumped together in large aggregates, called plasmodial slime molds. These strange creatures have long fascinated humans, and it’s no surprise why. 

The individuals of the species Physarum polycephalum live as solitary cells for a period of time and then come together as plasmodial slime molds, before splitting again to reproduce. Because of this strange cellular structure across their life cycle, they have been a challenge to classify, and were previously grouped as fungi. There are over 900 different species of slime molds, which come in different shapes, sizes, and colors.

Since they are single-celled organisms, slime molds do not form nervous systems or organs like a brain. However, when they live as plasmodial slime molds, the many nuclei form a network within a single cell membrane that can process sensory information independently and share that information with each other. In this way, they have been shown to learn where displeasing or toxic substances are within an area and then avoid that area in the future, remembering such stimuli and passing it on. They can play the world’s most successful game of “telephone”!

Pretzel Slime Mold (Photo from Nativeplants Garden, CC BY-SA 4.0 via Wikimedia Commons)

How have slime molds become known for problem solving? 

Because of their ability to group together and send out strands of slime, slime molds are adept problem solvers. They can sense the chemical traces of food sources in the air the way that we sniff out food with our senses of smell, and pulse out toward that signal. 

Researchers have set up experiments where they placed oat flakes, a food greatly enjoyed by slime mold, at different points in a dish, and observed the slime mold find the shortest route between them. Slime molds can map out the most efficient network of pathways between dozens of different points of interest, organically figuring out the solution to a problem of tremendous computational complexity. In different experiments, they have mimicked the Tokyo train network, as well as British and Iberian road networks.

Take a look at their movement and decision making:

What else can slime molds do?

Scientists fascinated by slime molds’ power have wondered about the possibility of “computing” with slime molds. A graduate student in the UK has powered a microchip with a slime mold sample, and other British researchers have created a robot that is controlled by a slime mold at its center reacting to light, which it likes to avoid. 

Perhaps strangest still is the decision by Hampshire College to give slime mold a faculty appointment. A sample of Physarum Polycephalum is the school’s resident non-human scholar, and it does research on problems posed to it by students modeling various policy questions. 

Though their intelligence is quite different from our own, it is certainly worthy of respect, and can teach us a thing or two. For more interesting looks at slime mold, check out the work of Heather Barnett, who spoke at our Voices of Nature conference in 2018, and recorded a popular TED Talk on the subject. As research on this intriguing creature reminds us, intelligence comes in many life forms.

Off to learn some more,
Maya


Maya Dutta is an environmental advocate and ecosystem restorer working to spread understanding on the key role of biodiversity in shaping the climate and the water, carbon, nutrient and energy cycles we rely on. She is passionate about climate change adaptation and mitigation and the ways that community-led ecosystem restoration can fight global climate change while improving the livelihood and equity of human communities. Having grown up in New York City and lived in cities all her life, Maya is interested in creating more natural infrastructure, biodiversity, and access to nature and ecological connection in urban areas.


Sources and Further Reading:
https://www.pbs.org/wgbh/nova/article/slime-mold-smart-brainless-cognition/
https://www.vox.com/science-and-health/2018/3/6/17072380/slime-mold-intelligence-hampshire-college
https://en.wikipedia.org/wiki/Physarum_polycephalum
https://www.newscientist.com/article/dn11875-bio-sensor-puts-slime-mould-at-its-heart/
https://www.newscientist.com/article/dn8718-robot-moved-by-a-slime-moulds-fears/